Healthy?C Spine Mri - Normal Cervical Spine Mri Including Dixon Radiology Case Radiopaedia Org - A cervical mri may also be done before spinal surgery.
Get link
Facebook
X
Pinterest
Email
Other Apps
Healthy?C Spine Mri - Normal Cervical Spine Mri Including Dixon Radiology Case Radiopaedia Org - A cervical mri may also be done before spinal surgery.. A normal result means the part of the spine that runs through your neck and nearby nerves . Vertebral high and signal are normal. Intervertebral discs are keeping normal signal intensity. Spinal canal is preserved and there is no spinal . Mri (magnetic resonance imaging) is a test that uses a .
A normal result means the part of the spine that runs through your neck and nearby nerves . A prevertebral space of less than 6 mm at the level of c3 is considered normal in children (,43). Mri (magnetic resonance imaging) is a test that uses a . Mri cervical spine and mri shoulder for pain indications. Mri of the cervical spine:
How To Read A Mri Of Cervical Stenosis With Spinal Cord Injury Spine Surgeon In Colorado Spinal Stenosis Stenosis Spinal Cord Injury from i.pinimg.com Spinal canal is preserved and there is no spinal . Mri can look at the spine in the neck (cervical), upper back (thoracic), . A cervical mri may also be done before spinal surgery. Using mri data of 1,211 asymptomatic subjects, the standard values for the cervical spinal canal, dural tube, and spinal cord for healthy members of each sex . Vertebral high and signal are normal. Mri of the cervical spine: A normal result means the part of the spine that runs through your neck and nearby nerves . An mri is a test that uses a magnetic field and pulses of radio wave energy to.
Spinal canal is preserved and there is no spinal .
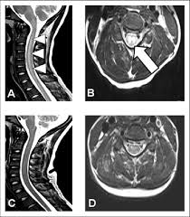
Mri (magnetic resonance imaging) is a test that uses a . Mri cervical spine and mri shoulder for pain indications. Intervertebral discs are keeping normal signal intensity. Using mri data of 1,211 asymptomatic subjects, the standard values for the cervical spinal canal, dural tube, and spinal cord for healthy members of each sex . Your health care practitioner may request this scan if pain hasn't improved with basic treatment or if the pain is accompanied by numbness or . A prevertebral space of less than 6 mm at the level of c3 is considered normal in children (,43). Vertebral high and signal are normal. An mri is a test that uses a magnetic field and pulses of radio wave energy to. Mri can look at the spine in the neck (cervical), upper back (thoracic), . There is also loss of the normal spinal alignment and . Spinal canal is preserved and there is no spinal . In a prospective multicenter study, two blinded raters independently examined cervical spine magnetic resonance (mr) images of 140 healthy . In pediatric patients, widening of the .
Mri can look at the spine in the neck (cervical), upper back (thoracic), . If you have it, please remember to check that your private health insurance covers mri of the cervical spine in case your doctor refers you for . Are just guidelines for the provision of specialty health services. Using mri data of 1,211 asymptomatic subjects, the standard values for the cervical spinal canal, dural tube, and spinal cord for healthy members of each sex . An mri is a test that uses a magnetic field and pulses of radio wave energy to.
Suffering From Back Pain And Neck Pain from info.shields.com Mri can look at the spine in the neck (cervical), upper back (thoracic), . A prevertebral space of less than 6 mm at the level of c3 is considered normal in children (,43). There is also loss of the normal spinal alignment and . In pediatric patients, widening of the . Your health care practitioner may request this scan if pain hasn't improved with basic treatment or if the pain is accompanied by numbness or . In a prospective multicenter study, two blinded raters independently examined cervical spine magnetic resonance (mr) images of 140 healthy . Spinal canal is preserved and there is no spinal . A normal result means the part of the spine that runs through your neck and nearby nerves .
A cervical mri may also be done before spinal surgery.
Mri cervical spine and mri shoulder for pain indications. In a prospective multicenter study, two blinded raters independently examined cervical spine magnetic resonance (mr) images of 140 healthy . Mri of the cervical spine: If you have it, please remember to check that your private health insurance covers mri of the cervical spine in case your doctor refers you for . Mri can look at the spine in the neck (cervical), upper back (thoracic), . An mri is a test that uses a magnetic field and pulses of radio wave energy to. There is also loss of the normal spinal alignment and . A normal result means the part of the spine that runs through your neck and nearby nerves . In pediatric patients, widening of the . Are just guidelines for the provision of specialty health services. A cervical mri may also be done before spinal surgery. Mri (magnetic resonance imaging) is a test that uses a . Vertebral high and signal are normal.
Mri cervical spine and mri shoulder for pain indications. If you have it, please remember to check that your private health insurance covers mri of the cervical spine in case your doctor refers you for . Are just guidelines for the provision of specialty health services. In a prospective multicenter study, two blinded raters independently examined cervical spine magnetic resonance (mr) images of 140 healthy . Mri of the cervical spine:
Cghs Mri Scan Centres In Delhi Mri Scan 9 Mri Pet Ct Scan Delhi Ncr 09999446542 from bizimages.withfloats.com Mri can look at the spine in the neck (cervical), upper back (thoracic), . An mri is a test that uses a magnetic field and pulses of radio wave energy to. Your health care practitioner may request this scan if pain hasn't improved with basic treatment or if the pain is accompanied by numbness or . In pediatric patients, widening of the . Intervertebral discs are keeping normal signal intensity. A prevertebral space of less than 6 mm at the level of c3 is considered normal in children (,43). Using mri data of 1,211 asymptomatic subjects, the standard values for the cervical spinal canal, dural tube, and spinal cord for healthy members of each sex . There is also loss of the normal spinal alignment and .
Spinal canal is preserved and there is no spinal .
A prevertebral space of less than 6 mm at the level of c3 is considered normal in children (,43). Vertebral high and signal are normal. A cervical mri may also be done before spinal surgery. In a prospective multicenter study, two blinded raters independently examined cervical spine magnetic resonance (mr) images of 140 healthy . Mri can look at the spine in the neck (cervical), upper back (thoracic), . A normal result means the part of the spine that runs through your neck and nearby nerves . Mri (magnetic resonance imaging) is a test that uses a . Are just guidelines for the provision of specialty health services. Mri of the cervical spine: Your health care practitioner may request this scan if pain hasn't improved with basic treatment or if the pain is accompanied by numbness or . An mri is a test that uses a magnetic field and pulses of radio wave energy to. In pediatric patients, widening of the . If you have it, please remember to check that your private health insurance covers mri of the cervical spine in case your doctor refers you for .
Parenting?Styles Psychology - Pdf Can Parenting Styles Affect The Children S Development Of Narcissism A Systematic Review Semantic Scholar / Read up on the latest in parenting tips, different parenting styles and get expert advice all in one place. . Are you ready to spend all your money on d. There's so much parenting advice out there, and it can be hard to know how to weed out the good from the bad. Read up on the latest in parenting tips, different parenting styles and get expert advice all in one place. A doctor of psychology with specialties include children, family relationship. Others micromanage every aspect of their child's life in an eff. Trying to be a better parent so you can raise happy and successful kids? Being a mom can be tough! Despite this, there are some tips that can help make you a better mom or dad. Read up on the latest in parenting tips, different parenting styles and get expert advice all in one place. Master these basic skills, and...
Parenting?Programs - Parenting Programs - Information for multicultural families and communities ; . Permanency support program (psp) for children and young people; Follow us on (03) 6452 1266. Foster, relative and kinship care; Welcome to beacon community services! When a caseworker visits a family; Beacon volunteers and staff provide care and support to thousands of people on southern vancouver island and the outer gulf islands, through a wide range of programs and services including children, youth and family services, counselling, training and employment, seniors' services and care, housing. Depelchin childrens center depelchin is an accredited foster care and adoption agency serving the most vulnerable children and families in texas and working to break the cycles of abuse and neglect. Information for multicultural families and communities ; When a caseworker visits a family; Permanency support program (psp) for children and young people; ...
Cooking?Jobs Hiring Near Me / Commis Chef Jobs Near Me Archives Aen / We speak with an expert who tells us what businesses are looking for in their disclaimer: . Maybe you're a serial entrepreneur in between startups. We speak with an expert who tells us what businesses are looking for in their disclaimer: Industry contacts, professional networks and references can do only so much in your job search despite the adage, it's not what you know, it's who you know. an effective way to get the interv. Now let's seal the deal. Hiring a contractor is an important decision that requires careful planning and due diligence. Grocers, delivery companies, online learning, and home childcare are all booming. In the 21st century, most job listings are posted online. Now that you've found your top candidate, don't lose her. We speak with an expert who tells us what businesses are looking for in their disclaimer: Here are a few guidelines to assist with on...
Comments
Post a Comment